Herde
  • spielende Pferde
  • Pferde-Ballett
  • Schneidezähne schleifen
  • Kälber
  • Alpakas
  • Gras fressen
  • Arena
  • Backenzahn unter der Lupe
  • neugierige Berber-Pferde
  • Arena beim Springen
  • Islandpferd
  • drei grasende Pferde
  • Gebisskontrolle
  • Instrumente für Pferdezahn-Behandlung
  • Pony
  • Esel
  • Ziege

Wissenswertes über Pferdezähne

Um die Komplexität und Anpassung des Pferdegebisses an die Nahrungsbedingungen und die Zusammenhänge zwischen Zahnfehlstellungen und deren Auswirkungen auf die Pferdegesundheit zu verstehen, werden hier die wichtigsten Fakten über die Zahnanatomie des Pferdes beschrieben.

Pferdeschädel mit Gebiss
Quelle: pferde-klinik.de

Inhalt

Entwicklung der Zahnmedizin beim Pferd

Kaum ein Gebiet der Pferdemedizin hat in den letzten Jahren solch eine Revolution durchgemacht wie das der Zahnmedizin. Schon vor Jahrzehnten erkannte man, dass Zahnspitzen zu Schleimhautverletzungen und zur Beeinträchtigung der Kautätigkeit führen können und man begann, diese mit Handraspeln zu kürzen. Jedoch erst später wurde die Anatomie und Mechanik des Pferdegebisses genauer erforscht und Kenntnisse darüber gewonnen, wie genau das Pferdegebiss in Balance gebracht werden kann und welche Auswirkungen auch kleinste Fehlstellungen in Bezug auf die Gesunderhaltung des Pferdes haben. Leider stieg mit der zunehmenden Bearbeitung der Pferdezähne auch die Zahl der Fehlbehandlungen an. Potentere Maschinen mit scharfen Schleifköpfen erleichterten zwar das Kürzen der Zähne, führten jedoch auch rasch zu einer Überkorrektur und Entfernen von unnötig viel Zahnsubstanz. Anatomische Kenntnisse und entsprechende Ausrüstung sind unabdingbar für eine fachgerechte Zahnkorrektur.

Instrumente zur Zahnbehandlung
Instrumente zur Zahnbehandlung

Anatomie Pferdegebiss

Das Gebiss eines Pferdes wird in vier Quadranten mit je 6 Backenzähnen und 3 Schneidezähnen (Von der Mitte her die Zangen, Mittelzähne und Eckzähne) unterteilt. Zudem kann sich pro Quadrant ein Wolfs- und/oder Hengstzahn ausbilden. Das ergibt eine Gesamtzahl von 36 bis 44 Zähnen.

Milchzähne

Jeweils die 3 vorderen Backenzähne, sowie alle Schneidezähne sind als Milchzähne ausgebildet, welche im Alter von 2 ½ bis 4 ½ Jahren wechseln.

Eine Übersicht über den Zeitpunkt des Durchbruches bleibender Zähne und den Wechsel der Milchzähne ist in der folgenden Tabelle dargestellt:

Zahntyp Durchbruch Wechsel Kundenschwund
Schneidezähne (Zangen, I1) 0 – 6 Tage 2 ½ Jahre 6 J unten / 9 J oben
Schneidezähne (Mittelzähne, I2) 6 Wochen 3 ½ Jahre 7 J unten / 10 J oben
Schneidezähne (Eckzähne, I3) 6 Monate 4 ½ Jahre 8 J unten / 11 J oben
Hengstzähne (C) bis 4 ½ Jahre
Wolfszähne (P1) 5 – 18 Monate
Backenzähne (P2) 0 – 6 Tage 2 ½ Jahre
Backenzähne (P3) 0 – 6 Tage 3 Jahre
Backenzähne (P4) 0 – 6 Tage 3 ½ Jahre
Backenzähne (M1) 1 Jahr
Backenzähne (M2) 2 Jahre
Backenzähne (M3) 4 ½ Jahre

Wolfszähne

Die Wolfszähne werden nicht bei allen Pferden als rudimentärer Zahn vor dem ersten Backenzahn ausgebildet und sind an sich funktionslos und nicht störend. Aufgrund ihrer Position in der Trensenlage wirken sie jedoch oft störend und können, falls scharf oder von Schleimhaut bedeckt, zu Schmerzreaktionen beim Reiten führen. Aus diesem Grund entfernt man gerade bei jungen Pferden die Wolfszähne. Dies ist mit keinem grossen Aufwand verbunden und kann im Rahmen einer normalen Zahnbehandlung durchgeführt werden.

Wolfszahn beim Pferd
Der Wolfszahn ist vor dem ersten grossen Backenzahn ausgebildet (eigentlicher erster Backenzahn).
Extrahierte Wolfszähne beim Pferd
Frisch gezogene Wolfszähne nach der Extraktion.

Hengstzähne

Nur bei Hengsten und Wallachen ausgebildete Hengstzähne sind vergleichbar mit dem Eckzahn (Caninus) eines Hundes und befinden sich im vorderen Bereich der Lade. Bei Stuten sind sie oft nicht oder nur in einer Grösse von wenigen Millimetern vorhanden.

Hengstzähne sind selten störend und werden meistens nur abgerundet, um das Pferd vor Schleimhaut- oder Zungenverletzungen zu schützen.

Hengstzähne
Hengstzähne

Schmelz, Dentin und Zement

Pferdezähne haben im Unterschied zu uns Menschen neben dem Schmelz (weiss), der härtesten Zahnsubstanz und dem Dentin (gelb) noch eine dritte Zahnsubstanz, das dunkle, weiche Zement. Diese unterschiedlichen Härten sind wichtig für die Waschbrettförmige Struktur auf der Zahnoberfläche, welche der Oberflächenvergrösserung und mechanischen Zerkleinerung dient. Es bilden sich wie Faltenartige Strukturen, welche ihrerseits anfällig für Karies und sogar Zahnfrakturen sein können.

Backenzahn unter der Lupe
Ein Backenzahn unter der Lupe

Bei den Schneidezähnen bilden diese Strukturen die sogenannten Kunden, welche je nach Abrieb und Zahnalter unterschiedliche Formen und Tiefen haben. Somit lässt sich ein Alter des Pferdes anhand seiner Zähne ziemlich genau bestimmen.

Schneidezähne eines Pferdes
Schneidezähne des Unterkiefers eines Pferdes.
Quelle: wikipedia.org

Warum ist eine Zahnbehandlung notwendig?

Im Unterschied zu unseren Zähnen haben Pferdezähne lange Wurzeln, welche jährlich 2-3 mm nachstossen. Somit steht das Pferdegebiss in einer ständigen Veränderung, abhängig von angeborenen Gegebenheiten, Futterbeschaffenheit und Fütterungsintensität. Die Vorfahren unserer Hauspferde sowie in freier Wildbahn lebende Pferde sind sich hartes Steppengras und mehrstündiges Fressen gewohnt. Dies steht in keinem Verhältnis zum im Vergleich dazu eher strukturarmen Heu und Gras bei kürzeren Fütterungsperioden. Es gilt weiter zu beachten, dass unsere Hauspferde durchaus auch ein höheres Alter erreichen als Wildpferde. Funde von Schädelknochen mit massiven Zahnfehlstellungen lassen jedoch auch hier vermuten, dass oftmals schlechte Zähne der Grund für das Ableben von Wildpferden waren. Daher ist eine Korrektur von Fehlstellungen und scharfen Spitzen unabdingbar zur Gesunderhaltung unserer Hauspferde geworden.

Unkorrigiertes Pferdegebiss

Die Veränderungen, welche das Pferdegebiss schon in den ersten Lebensjahren durchgeht, machen deutlich, dass schon bei jungen Pferden die erste Zahnkontrolle durchgeführt werden sollte. So können Probleme im Zahnwechsel und Fehlstellungen früh festgestellt und behoben werden, bevor gravierende Probleme entstehen.

Ab welchem Alter sind Zahnkontrollen nötig?

Ich empfehle, die erste Zahnkontrolle im Alter von ca. drei Jahren VOR dem Anreiten durchführen zu lassen. Allerdings kann schon ein Fohlen teilweise scharfe Kanten oder Fehlstellungen aufweisen. Bis der Zahnwechsel im Alter von fpnf Jahren abgeschlossen ist, kann eine halbjährliche Kontrolle/ Korrektur notwendig sein. Anschliessend richten sich die Intervalle der Zahnbehandlungen nach Gebiss und vorhandenen Fehlstellungen. In der Regel sind Zahnkorrekturen alle 1 bis 2 Jahre notwendig.

Symptome

Folgende Symptome können auf ein Zahnproblem hinweisen. Meist treten die Symptome jedoch erst auf, wenn eine Fehlstellung oder Erkrankung schon länger besteht. Dies macht die Wichtigkeit einer regelmässigen Kontrolle auch bei äusserlich gesund erscheinenden Pferden deutlich.

  • Kaustörungen
  • Futterrollen/ Hamsterbacken
  • Mundgeruch
  • Durchfall/ Kotwasser
  • Abmagerung
  • Kolik
  • Rittigkeitsprobleme
  • Headshaking
  • Verspannungen, Lahmheiten
  • Asymmetrie oder Erhabenheit am Schädel/ Unterkiefer
  • Fistel (Wundkanal mit Sekretaustritt)
  • Nasenausfluss
Fistelbildung bei Zahnwurzelabszess
Fistelbildung bei Zahnwurzelabszess im Oberkiefer.
Quelle: pferdeklinik-aschheim.de
Futterrollen
Futterrollen
Bumps Knäste
Bumps/ Knäste: Gegendruck der Milchzähne auf nachstossende bleibende Zähne im Zahnfach kann zu Auftreibungen im Unter- oder Oberkiefer führen.
Quelle: pferde-klinik.de

Häufigste Veränderungen

Im Folgenden werden die häufigsten Veränderungen und Begriffe am Pferdegebiss kurz erläutert und dargestellt:

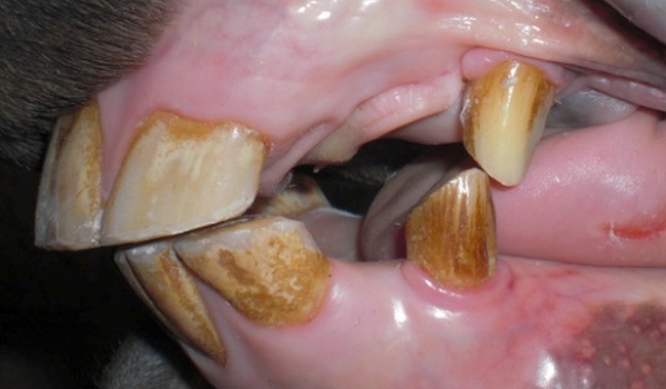
Scharfe Kanten und Zahnspitzen

Zahnspitzen entstehen durch unvollständige Seitwärtsverschiebung des Unterkiefers. Daher bilden sich vor allem am Oberkiefer aussen und am Unterkiefer innen teils messerscharfe Kanten, welche die Schleimhaut verletzen und zu Schmerzen beim Kauakt oder beim Reiten führen können.

Spitzen und scharfe Kanten an Backenzähnen
Spitzen und scharfe Kanten an Backenzähnen

Zahnhaken und Rampen

Zahnhaken entstehen dadurch, dass sich der vorderste oder hinterste Zahn über den gegenüberliegenden Zahn einreibt. Eine Rampe dagegen ist eher flach ansteigend.

Sowohl Haken als auch Rampen beeinträchtigen die Vorwärts-Rückwärtsbewegung des Unterkiefers mechanisch und stellen somit eine Belastung für das Kiefergelenk dar. Durch diese Blockade wird dem Pferd auch verunmöglicht, bei geschlossenem Maul in Anlehnung zu treten und sich im Genick zu biegen. Verspannungen bis hin zu Muskelschwund in Hals und Rückenmuskulatur sind die Folge.

Zahnhaken beim vordersten Backenzahn rechts
Zahn-Haken beim vordersten oberen Backenzahn rechts
Ausgeprägte Rampe beim hintersten Backenzahn links
Ausgeprägte Rampe beim hintersten unteren Backenzahn links

Meisselzähne

Ein Meisselzahn ist ein hervorstehender Zahn, der deutlich über die Zahnreihe herausragt. Meisselzähne entsteht durch fehlenden Gegenrieb auf der gegenüberliegenden Zahnreihe.

Diastemata

Diastemata sind Zahnzwischenräume, in denen Futter einspriessen und zu lokalen Entzündungen bis hin zu tiefen Schädigungen der Zahnwurzel und Abszessen führen kann. Sie entstehen einerseits durch die immer schmaler werdenden nachstossenden Zahnhälse bei älteren Tieren, jedoch auch durch Fehlstellungen oder durch Verlagerung durch Fehlen eines Zahns.

Treppen, Wellen

Bei schwerwiegenderen Fehlstellungen unterscheidet man zwischen einem Wellengebiss (Form einer Welle statt einer natürlichen ausgezogenen Kurve) und dem eher stufenartigen Treppengebiss.

Weitere Veränderungen

  • Fehlende oder überzählige Zähne
  • Schrägbiss
  • Zahnfachentzündungen
  • Karies

EOTRH
Equine Odontoclastic Tooth Resorption and Hypercementosis

Dies ist eine paradontale Erkrankung des Pferdes, welche erst seit einigen Jahren bekannt ist. Die Ursache ist bis heute weitgehend unklar. Diskutiert werden genetische Aspekte, mechanische Überbelastung der Schneidezähne, Vitaminüberschuss und Kalziummangel. Betroffen sind überwiegend die Schneidezähne und Hengstzähne, gelegentlich auch die Backenzähne.

EOTRH
Pferd mit EOTRH
Quelle: pferdepraxis-stoll.de

Im Ramen der EOTRH kann es zu einer schmerzhaften Veränderung der Schneidezahnwurzeln kommen. In diesem Fall müssen die Schneidezähne entfernt werden.

EOTRH
Quelle: klinik-fuer-pferde.net

Im folgenden Video erkläre ich, was EOTRH ist und wie Sie Ihren Pferden helfen können, die an dieser sehr schmerzhaften Krankheit leiden könnten:

Literatur

  • Baker G., Easley J., 2005: Zahnheilkunde in der Pferdepraxis
  • Vogt C., 2011: Zahnheilkunde beim Pferd
  • Staszyk C., 2015: Zähne und Gebiss des Pferdes – eine klinisch-anatomishe Übersicht
  • Smedley RC, 2015: Equine Odontoclastic Tooth Resorption and Hypercementosis: Histopathologic Features
  • Dixon PM, 2000: Equine dental disease part 4: a long-term study of 400 cases: apical infections of cheek teeth
  • Du Toit N., 2009: Clinical dental examinations of 357 donkeys in the UK. Part 2: epidemiological studies on the potential relationships between different dental disorders, and between dental disease and systemic disorders.